Κινητές οδοντοστοιχίες
Οι κινητές οδοντοστοιχίες είναι προσθετικές εργασίες σχεδιασμένες έτσι ώστε να αφαιρούνται και να επανατοποθετούνται στο στόμα από τον ίδιο τον ασθενή.
Σε ποιες περιπτώσεις τοποθετούνται;
- Όταν έχουν εξαχθεί όλα τα φυσικά δόντια (ολικές οδοντοστοιχίες).
- Όταν έχει χαθεί μεγάλος αριθμός φυσικών δοντιών και τα εναπομείναντα δόντια δεν επαρκούν ή δεν είναι ικανά να στηρίξουν μία ακίνητη γέφυρα πορσελάνης (μερικές οδοντοστοιχίες).
- Σε περίπτωση τοποθέτησης εμφυτευμάτων, οι κινητές οδοντοστοιχίες παίζουν το ρόλο προσωρινών αποκαταστάσεων για το διάστημα της αναμονής μέχρι την ενσωμάτωση των εμφυτευμάτων.
Μειονεκτήματα
- Οι οδοντοστοιχίες, ιδίως οι ολικές, είναι σχετικά ογκώδεις σε σύγκριση με τις ακίνητες γέφυρες.
- Πολλοί ασθενείς δυσκολεύονται να τις αποδεχτούν.
- Η μασητική ικανότητα του ατόμου μειώνεται σημαντικά.
- Σε περιπτώσεις μερικών οδοντοστοιχιών με μεταλλικά άγκιστρα, μπορεί να υπάρχει αισθητικό πρόβλημα (iδίως αν το άγκιστρο πρέπει να τοποθετηθεί σε μπροστινό δόντι και δεν υπάρχει δυνατότητα τοποθέτησης συνδέσμου ακριβείας).
- Μπορεί να εμφανίζουν προβλήματα στη συγκράτηση και την σταθερότητά τους ιδίως σε περιπτώσεις έντονης απορρόφησης των ούλων.
Πλεονεκτήματα
- Χαμηλό κόστος, σε σύγκριση με τις ακίνητες.
- Γρήγορη και εύκολη ή διαδικασία για την κατασκευή τους.
- Μπορούν πάντα να δώσουν λύση, ακόμα και σε καταστάσεις που οι άλλες μέθοδοι (γέφυρες-εμφυτεύματα) αδυνατούν.
- Καλή αισθητική απόδοση, στις περισσότερες περιπτώσεις.
- Αποκαθιστούν σε μεγάλο βαθμό την μάσηση, φώνηση και την αισθητική του ανθρώπου πού έχασε τα δόντια του και υποστηρίζουν τους μαλακούς ιστούς του προσώπου (μάγουλα, χείλη) που αλλοιώνονται μετά την απώλεια των δοντιών.
Πόσα είδη οδοντοστοιχιών υπάρχουν;
Ολικές οδοντοστοιχίες
Τοποθετούνται σε περιπτώσεις που έχουν εξαχθεί όλα τα φυσικά δόντια (οι λεγόμενες μασέλες).
Μερικές οδοντοστοιχίες (partial dentures)
Αντικαθιστούν λίγα ή περισσότερα φυσικά δόντια και στηρίζονται στα υπόλοιπα με μεταλλικά άγκιστρα ή κρυφούς μηχανισμούς (συνδέσμους ακριβείας ή attachments).
Κλασσικού τύπου μερική οδοντοστοιχία με μεταλλικά άγκιστρά (αριστερά), που αντικαταστάθηκε με νέα μερική οδοντοστοιχία που φέρει συνδέσμους ακριβείας
Επένθετες οδοντοστοιχίες (overdentures)
Μερικές ή ολικές οδοντοστοιχίες που εφαρμόζουν πάνω σε οδοντικές ρίζες, (ή σε εμφυτεύματα).
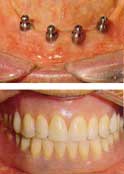
Οδοντοστοιχίες και εμφυτεύματα
Πολλές φορές οι οδοντοστοιχίες, κυρίως οι ολικές, δεν έχουν καλή συγκράτηση λόγω μεγάλης απορρόφησης των ούλων.
Στις περιπτώσεις αυτές η τοποθέτηση 2-4 εμφυτευμάτων σε κάθε γνάθο θα μπορούσε να βελτιώσει εντυπωσιακά την εφαρμογή των οδοντoστοιχιών.
Τοποθέτηση τεσσάρων εμφυτευμάτων στην κάτω γνάθο για την βελτίωση της συγκράτησης της ολικής οδοντοστοιχίας





